If you are looking for INVISALIGN® and you are looking for an INVISALIGN® dentist on the upper east then New York Family Dental Arts has provided hundreds of patients with INVISALIGN® to help them straighten their teeth. Both Dr. Vaiman and Dr. Kessler are certified INVISALIGN® PROVIDERS and consult everday on helping patients straighten their teeth using INVISALGN® aligners
INVISALIGN® is a series of clear, virtually invisible trays that are worn over people’s teeth to effect tooth movement and children and adults, creating an amazing and healthy smile. We at New York Family Dental Arts in Upper East Side use a 3-D scanner to create an image of your existing teeth, after which a computer program develops an individual tooth movement treatment plan, as well as custom-made clear trays. Firstly, let us answer some of your questions below so that we understand more about INVISALIGN®.
INVISALIGN® is a unique computer technology aided teeth straightening system that allows your teeth to be straightened without the use of any wires or brackets. INVISALIGN®; is also known as ‘clear braces’ and it uses a series of clear removable appliances these are called aligners. These aligners are manufactured by INVISALIGN® according to exact specifications for each individual patient.
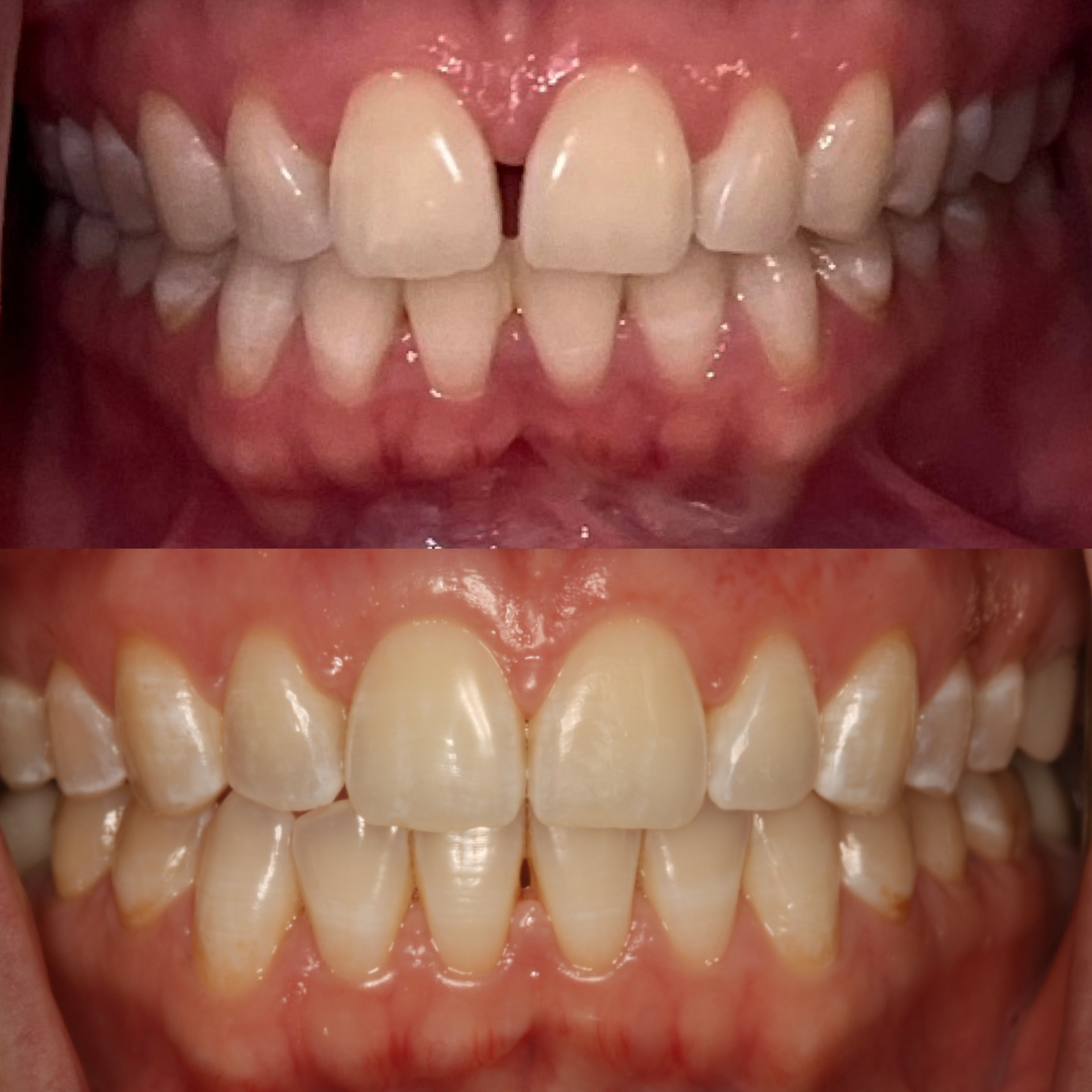
When you look at someone who is wearing INVISALIGN®; it is very hard to detect unless you’re up close. Therefore, from a distance many people will not know that you’re actually wearing INVISALIGN®. Many of our patients at our office have reported increased confidence in their ability to smile both during and after the INVISALIGN®; treatment.
Once they have informed you that you are a candidate for INVISALIGN®, they will create a custom tailored plan that will be made precisely according to the unique shape of your mouth. At this point the doctors will be able to tell you the approximate length of your treatment.
1) Your custom aligners will be made just for you having been designed by CAD. The aligners must be worn for the majority of the day, only removing them to eat and drink or to floss and brush.
2) Roughly every 2 weeks you will be sent a new set of aligners, each time bringing you closer to having your teeth perfectly straight.
3) The doctor will ask you to come in for occasional check-ups in order to ensure that the aligners are working and that your smile is progressing. Depending on the severity of the case the number of aligners will be between 12 and 48.
4) Once you have finished with your last aligner the process is finished and you are on your way to having the perfect smile you have always wanted. Most patients will be asked to wear a retainer at night – this will keep your teeth in their new position.




Yes it is.
Our doctors work very hard at New York Family Dental Arts to make the necessary changes to your treatment plan. At all times, we make sure that every tooth is in the right place. We can show you exactly how your new smile is developed and created.
The INVISALIGN® trays are worn for approximately 22 hours per day for 2 weeks and are then replaced with a new tray; the trays are only removed to eat. Small, tooth-colored attachments are added strategically to individual teeth. The trays engage these teeth and effect movement. The number of trays necessary to complete the treatment varies among different people and is determined by the amount of movement needed to create a beautiful and healthy smile. INVISALIGN® treatment typically last from 5 to 18 months, depending on the severity of misalignment of the teeth.
This INVISALIGN® system combined with the knowledge of the 100 year old science of orthodontics work together to create a unique system that has straightened the smiles of many Americans. Your first consultation for INVISALIGN® When you meet our doctors they will first examine your mouth and measure the extent of the treatment providing that you are a good candidate. At this point our doctors may answer many of your questions including price, insurance options and financing if it needed. Once they have informed you that you are a candidate for INVISALIGN®, they will create a custom tailored plan that will be made precisely according to the unique shape of your mouth.
At this point the doctors will be able to tell you the approximate length of your treatment.
At all times, we make sure that every tooth is in the right place. We can show you exactly how your new smile is developed and created. The INVISALIGN® trays are worn for approximately 22 hours per day for 2 weeks and are then replaced with a new tray; the trays are only removed to eat. Small, tooth-colored attachments are added strategically to individual teeth.
The trays engage these teeth and effect movement. The number of trays necessary to complete the treatment varies among different people and is determined by the amount of movement needed to create a beautiful and healthy smile. INVISALIGN® treatment typically last from 5 to 18 months, depending on the severity of misalignment of the teeth. Following the completion of the treatment, we provide our patients with retainers that are worn only at night to solidify the movement of the teeth and to make sure the teeth stay in their new proper places.